Laboratory Diagnosis of Malaria
Colistin and Polymyxin B testing in Carbapenemase producing Enterobacteriaceae
Revised CLSI breakpoints for Vancomycin in S. aureus and its correlation with therapeutic monit
Modified Hodge test
Collection and Transport Of Urine for Culture
Methicillin Resistant Staphylococcus Aureus (MRSA)
Multi-Resistant Gram Negative Rods
Urinary tract infections
Blood Culture Collection and Transportation guide
Drug Resistance in P.falciparum Malaria
Extensively drug resistant tuberculosis (XDR)
Fluconazole resistance in Candida species
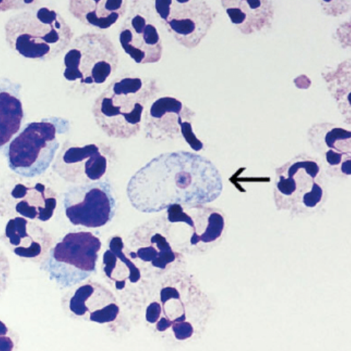
Detection of Amoebic meningitis by means of a wet film of cerebrospinal fluid (CSF)
Susceptibility testing for Moraxella catarrhalis
Double Disk Diffusion Test (D-Test)
Specimen Collection and transport
Vancomycin resistance in Enterococcus species (VRE)